Samsun’da felç geçiren ve boyun damarında yüzde 90 darlık tespit edilen 71 yaşındaki hasta, yüksek ameliyat riski nedeniyle kasıktan girilerek yapılan anjiyografik stent işlemi ve doktorların başarılı müdahalesiyle sağlığına kavuştu.
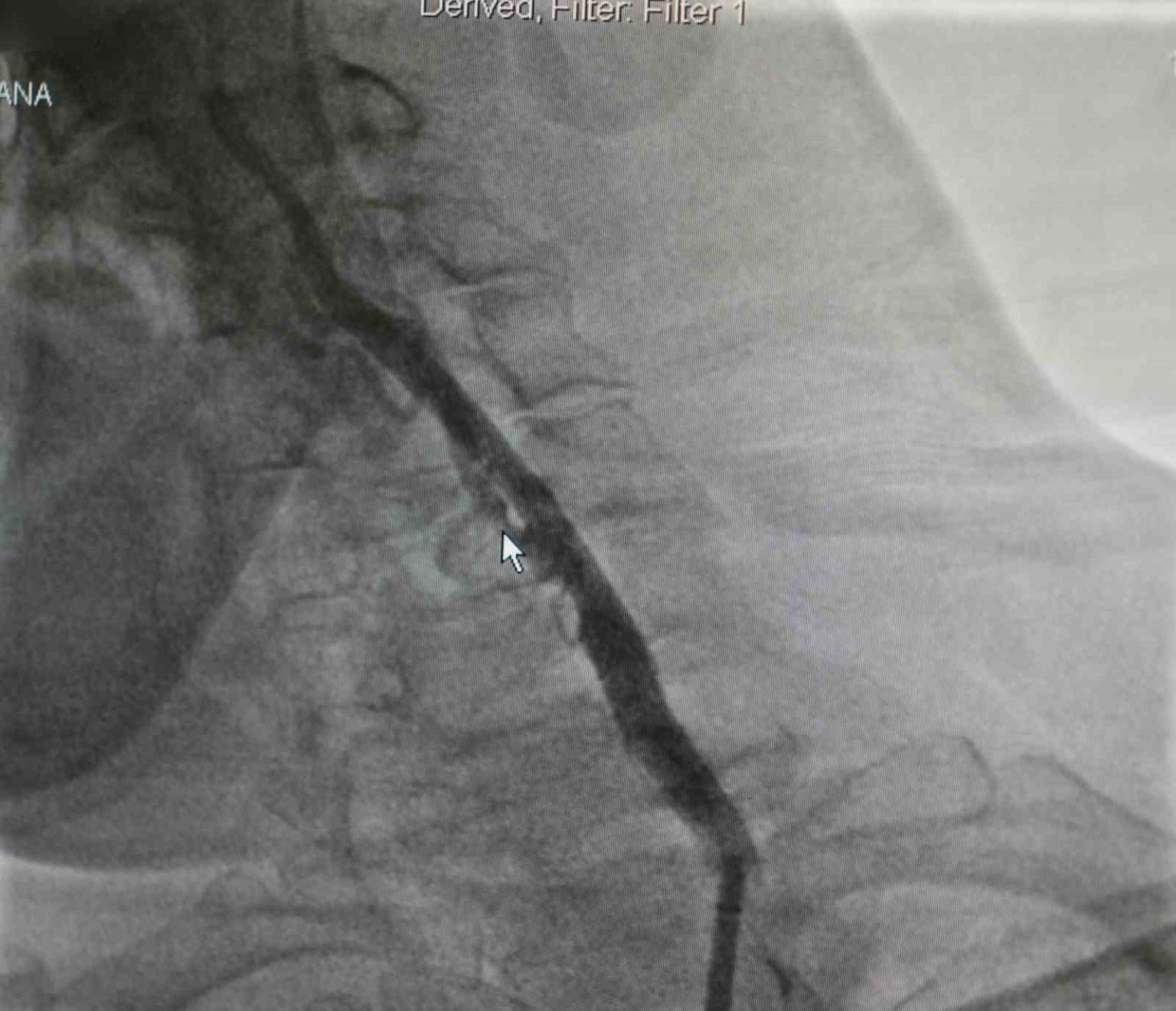
Samsun’da yaşayan Zekai Bozyel (71), 15 yıl önce bypass ve kalp kapak ameliyatı geçirdi. Rutin kontrolleri devam eden Bozyel, 20 gün önce kolunda güçsüzlük şikayetiyle nöroloji servisine yatırıldı. Yapılan tetkiklerde hastanın sağ boyun damarında yüzde 30, sol boyun damarında ise yüzde 90 oranında darlık tespit edildi. Sol taraftaki ciddi darlığın hastanın felç geçirmesine neden olduğu belirlendi. Hastanın daha önce kronik akciğer rahatsızlığı bulunması ve geçirdiği ameliyatlar nedeniyle anestezi açısından yüksek risk taşıdığı değerlendirildi. Bunun üzerine hastanın durumu kardiyoloji ekibi tarafından yeniden ele alındı. Akabinde Medicana International Samsun Hastanesi Kardiyoloji Uzmanı Dr. Öğr. Üyesi Ahmet Yanık, boyun damarında yüzde 90 darlık tespit edilen ve daha önce baypas ile kalp kapak ameliyatı geçiren hastaya ameliyatla kasıktan girerek uygulanan anjiyografik yöntemle stent yerleştirdi. Gerçekleştirilen başarılı müdahaleyle yeniden felç riskinin önüne geçildiğini belirtti.
“İşlem sonrası herhangi bir sorun yaşamadık ve hastamızı taburcu ettik”
Hastanın filmlerini inceleyip muayenesini yaptıklarını belirten Dr. Öğr. Üyesi Ahmet Yanık, “Zekai bey 15 yıl önce bypass ve kalp kapak ameliyatı olmuş, rutin takiplerinde devam eden bir hastamız. 20 gün önce nöroloji servisine yatıyor. İnme hikayesi ve kolunda güçsüzlük var. Yapılan tetkiklerinde boyun damarında darlık saptanıyor. Sağdaki boyun damarında yüzde 30, soldaki boyun damarında ise yüzde 90 civarında bir darlık var. Bu felç geçirmesine sebep olan bir darlık. Öncelikle ameliyat düşünüldü ancak kronik akciğer öyküsü ve diğer rahatsızlıkları nedeniyle anestezi açısından riskli bulundu. Biz damarın bu şekilde bırakılmasının daha riskli olacağını düşündük. Hastamızla görüşerek işlemi yapmaya karar verdik. Başarılı bir şekilde soldaki boyun damarına kasıktan girerek, herhangi bir kesi yapmadan anjiyografik olarak stent yerleştirdik. İşlem sonrası herhangi bir sorun yaşamadık ve hastamızı taburcu ettik. Müdahale edilmemesi durumunda daha ciddi bir felç riski söz konusuydu” dedi.
Operasyon sonrası sağlığına kavuştuğunu belirten Zekai Bozyel ise, “Hastaneye geldiğim zaman kafamda ve boynumda bir daralma hissi vardı. Şimdi durumum gayet normaldir” diye konuştu.
Babasının felç geçirdiğini ifade eden Recep Bozyel de, “Babam riskli bir hastaydı ve sürekli kontrol altındaydı. Ahmet hocamızla tanıştık. ’Bu işin üstesinden gelirse Ahmet hoca gelir’ dediler. Babamın geçmişini de biliyordu. Ameliyat oldu ve şu ana kadar hiçbir problem yaşamadık. Başarılı bir operasyon gerçekleştirildi” ifadelerini kullandı.




