Göğüs Hastalıkları Uzm. Prof. Dr. Şevket Özkaya, tüm dünyada çocuk ve gençleri etkileyen iki önemli bağımlılığın metamfetamin ve kokain olduğunu belirterek, her iki uyuşturucunun ciddi sağlık sorunlarına ve ölümlere yol açtığını açıkladı.
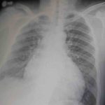
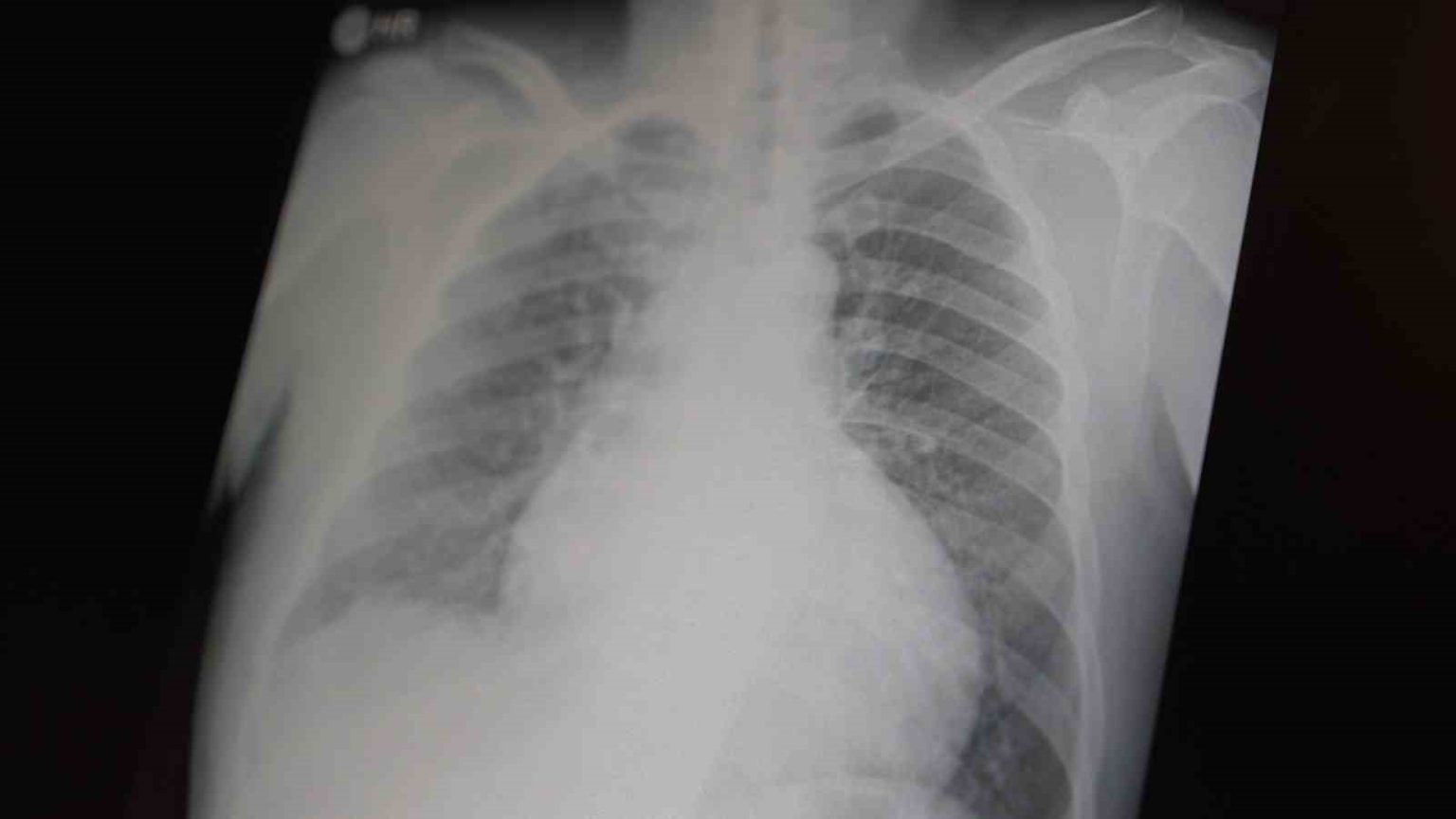
Prof. Dr. Şevket Özkaya, çocukları ve gençleri etkileyen bağımlılıklar hakkında açıklamalarda bulundu. Metamfetaminin sentetik bir uyuşturucu olduğunu ve kullanımının ölümcül sonuçlar doğurduğunu ifade eden Özkaya, “Tüm dünyada çocukları ve gençleri etkileyen iki önemli bağımlılıktan bahsetmek istiyorum. Bunlar metamfetamin ve kokain bağımlılığıdır. Metamfetamin en ölümcül, en çok bağımlılık yapan, okul çağında en kolay ulaşılabilen bir sentetik uyuşturucudur. Kullanıma bağlı ciddi akciğer ve karaciğer sorunları ortaya çıkıyor. Çok küçük dozlarda bile anında bağımlılık yapabiliyor ve tedaviyle bırakılması çok zor bir bağımlılıktır” dedi.
Özkaya, gençler arasında ölümcül etkileri olan diğer bir uyuşturucunun da kokain olduğunu belirterek, “Kokain, gençler arasında ölüme neden olan uyuşturucu maddelerden birisidir. Toplumda aile kontrolü dışında kalan gençler bu maddelere çok kolay yöneliyor” diye konuştu.
Açıklamalarında, her iki uyuşturucunun beyin hasarı oluşturduğunu ve nöro sinir hücrelerini harap ederek solunum ve kalbin durmasına sebep olduğunu vurgulayan Özkaya, “Metamfetamin tüm dünyada bir sorun olmanın ötesinde, ülkemizde de gençlerimizi etkileyen toplumsal bir sorun olarak görülmelidir” ifadelerini kullandı.
Profesör açıkladı: “Metamfetamin ve kokain gençler arasında tehlikeli boyutlara ulaştı”
Yorum yapılmamış



