Tuzla Devlet Hastanesi Ortopedi ve Travmatoloji Klinik Sorumlusu Op. Dr. R. Emrah Demirbaş, kontrolsüz sporun ciddi sakatlıklara yol açabileceğini belirterek, “Herkes her sporu yapamaz fakat herkes bir spor yapabilir. Sporların kişiye özel olarak doktor tarafından belirlenmesi çok önemli” uyarılarında bulundu.
Tuzla Devlet Hastanesi Ortopedi ve Travmatoloji Klinik Sorumlusu Op. Dr. R. Emrah Demirbaş, spor yaparken en sık karşılaşılan yaralanmalar ve doğru spor seçimi konusunda önemli açıklamalarda bulundu. Özellikle ortopedik problemi olan bireylerin bilinçsiz spor yapmasının daha büyük sakatlıklara neden olabileceğini vurgulayan Demirbaş, sporun mutlaka kişiye özel planlanması gerektiğini ifade etti.
“Sporların kişiye özel olarak doktor tarafından belirlenmesi çok önemli”
Yanlış sporun kişilerin mevcut sağlık sorunlarını tetikleyebileceğini dile getiren Op. Dr. Demirbaş, “Herkes her sporu yapamaz dememizin sebebi, kişilerin mevcut sağlık problemlerinin bazı spor dallarında daha fazla baskı oluşturup ciddi hasarlara neden olmasıdır. Ancak herkes bir spor yapabilir çünkü yüzme, yürüyüş, yoga ya da pilates gibi sporlar çoğu insan için güvenlidir. Bu sporların kişiye özel olarak doktor tarafından belirlenmesi çok önemlidir” şeklinde konuştu.
“Futbol nedeniyle yaralanmalar ve yırtıklar çok sık görülüyor”
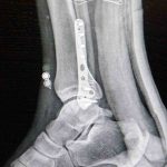
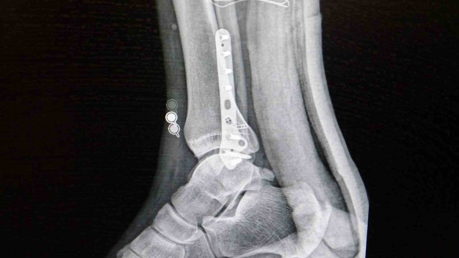
Ortopedi polikliniklerine en sık ayak bileği, diz ve omuz yaralanmalarıyla başvurulduğunu belirten Demirbaş, futbol nedeniyle yaralanma oranlarının da ilk sırada yer aldığını söyledi. Konuya ilişkin Demirbaş, “Futbolda menisküs yırtıkları, ön çapraz bağ yırtıkları, iç ve dış yan bağ yaralanmaları, aşil tendon kopmaları ve ayak bileği bağ yaralanmaları çok sık görülüyor. Ayrıca spora bağlı kırıklar da önemli bir yer tutuyor” ifadelerini kullandı.
“Isınmadan yapılan spor sakatlığın davetiyesidir”
Spor yaparken dikkat edilmesi gereken kurallara değinen Demirbaş, şu uyarılarda bulundu:
“Spor öncesinde en az ısınma kadar spor sonrasında yapılan germe ve soğuma egzersizleri de hayati derecede önemlidir. Çok aç ya da çok tok şekilde spor yapılmamalı. Kişinin sağlık durumunun spora uygun olup olmadığını mutlaka bir hekim değerlendirmelidir.”
“Doğru spor seçimi sakatlık riskini azaltır ve yaşam kalitesini yükseltir”
Modern hayatın hareketsizliği tetiklediğini hatırlatan Demirbaş, doğru sporun uzman kontrolünde belirlenmesi gerektiğini söyleyerek, “Günümüzde masa başı işlerden dolayı ciddi bir hareketsizlik söz konusu. Herkesin mutlaka bir spor dalıyla uğraşması gerekiyor. Fakat bu sporun kişinin anatomisine, yaşına ve sağlık durumuna uygun olup olmadığı mutlaka uzman hekim tarafından belirlenmelidir. Doğru spor seçimi sakatlık riskini azaltır ve yaşam kalitesini yükseltir” dedi.





