Ankara’da sahipsiz köpeklerden kaçarken ayağının kayması sonucu düşen şahsın el bileği kırıldı. Kolunda kalıcı hasar meydana gelen şahıs, belediyenin başıboş köpeklerle yeterince ilgilenmediğini ileri sürdü.
Olay, 29 Aralık günü Mamak’ta meydana geldi. Alınan bilgilere göre, 35 yaşındaki Yasin Arslantaş yaşadığı apartmanın önünde yaklaşık 10 sahipsiz köpek tarafından kovalandı. Kaçmaya çalışırken düşerek el bileği kırılan Arslantaş, ambulansla hastaneye kaldırıldı. Bilek kemiğine 11 adet platin takılan Arslantaş’ın kolunda kalıcı his ve hareket kaybı meydana geldi. Olay nedeniyle maddi ve manevi açıdan zor zamanlar geçirdiği söyleyen Arslantaş, belediye ekiplerinin yaşanan soruna hala çözüm üretmediğini iddia etti.
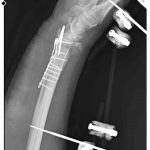
“Bileğimde 15 dikiş ve 11 platin var”
Yasin Arslantaş, “Sabah apartmandan çıkış yaptığım sırada arkamdan 9 köpeğin geldiğini gördüm. Saldırgan haldelerdi. Bana saldırmak üzerelerdi. Kaçmaya çalışırken ayağım kaydı ve düştüm. Bileğimde 15 dikiş ve 11 platin var. İki ay boyunca kolum bu halde kalacak ve ardından da yine 2 buçuk ay fizik tedavi süreci olacak. Doktorlar his ve hareket kaybımın olacağını söylediler. Bileğimden büyük kemiğin kırılmasından dolayı zorlu bir süreç geçiriyorum. 3 saatlik bir ameliyat geçirdim” dedi.
“Çevrede hala köpekler var”
Belediye görevlilerinin olayla yeterince ilgilenmediğini iddia eden Arslantaş, “Günlük işlerde çalışıyordum. Artık işsizim. Köpekler burada sürekli geziyordu. Daha önce de duymuştum burada çok olduklarını. Kötü haldeyim, zarar gördüm. Şikayette bulunmak istedim. Mamak Belediyesinin ilgilenmesi gerektiğini söylediler. Kendilerine ulaşamadım. Yaklaşık 20 gün sonra dönüş yaptılar. O dönüşü de CİMER’e yaptığım şikayetten dolayı yaptıklarını söylediler. Köpekleri toplamaya geldiklerini söylediler ama yapmadılar. Çevrede hala köpekler var” diye konuştu.
“Psikolojik olarak çok kötüyüm”
Ailesiyle birlikte zor günler geçirdiğini ifade eden Arslantaş, “7 yaşında bir kızım var. Okul servisine yazdırmak zorunda kaldık köpekler yüzünden. O da korktu ve etkilendi bu durumdan. Psikolojik olarak çok kötüyüm. Köpek gördükçe sokak değiştiriyorum. Eşim de işinden izin almak zorunda kaldı. Ailecek psikolojik olarak da çok etkilendik bu durumdan” dedi.



