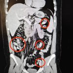
Eskişehir’e 44 kapsül uyuşturucu maddeyi midesinde sokmaya çalışan yabancı uyruklu şahıs polisin dikkati sayesinde yakayı ele verdi. Ameliyatla midesinden uyuşturucu maddeler çıkarılan şahıs çıkarıldığı mahkemece tutuklandı.
Yurtdışından Eskişehir’e gelen S.A. (25) isimli yabancı uyruklu şahsın kent girişindeki çevirme noktasında durumundan şüphelenilmesi üzerine hastanede yapılan detaylı tetkikler neticesinde yutmak suretiyle midesinde 44 kapsül metamfetamin maddesi taşıdığı anlaşıldı. Cerrahi müdahaleyle sözkonusu maddeler şahsın bedeninden çıkarıldı. Tedavisi akabinde şahıs tutuklandı. Yapılan titiz operasyon ile uyuşturucu maddelerin Eskişehir’de piyasaya sürülmeden ele geçirilmesi sağlandı.
Midesinde taşıdığı uyuşturucu maddeler polisin dikkatinden sayesinde ele geçirildi
Yorum yapılmamış




